タイトルのとおりですが、足を折りました。
12月中旬、フットサルをしていたときのことです。
シュートのブロックでジャンプし、着地を完全にミスりました。
雨上がりでフィールドが少し滑りやすかった、ということにしておきます。
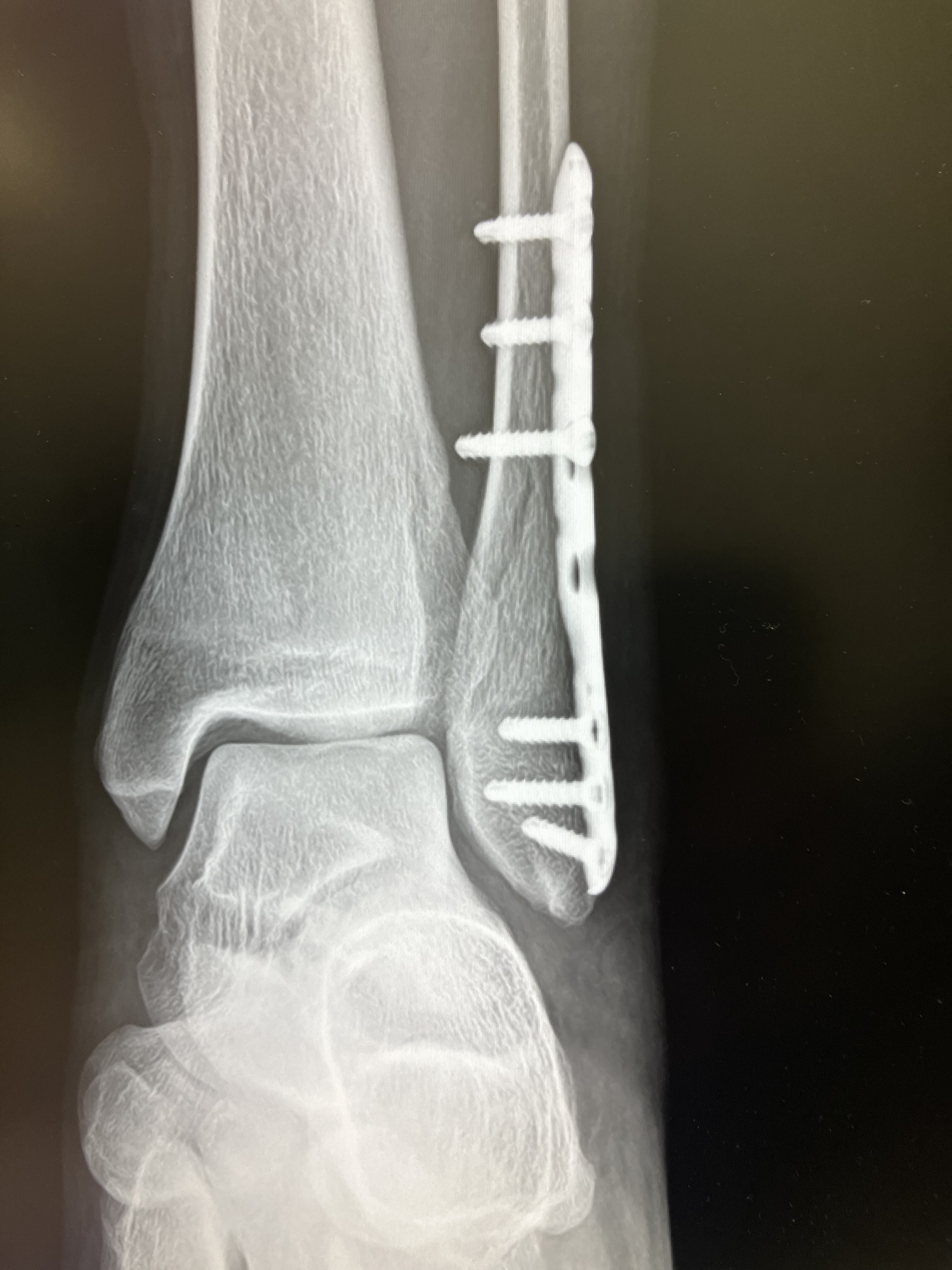
そのまま救急車で運ばれ、診断は「外果骨折」。
聞き慣れない名前ですが、足首らへんの骨折でした。
翌日病院に行くと、
「今日このあと手術しましょう」と言われ、
あれよあれよという間に一泊入院することになりました。
全身麻酔は本当に一瞬で、
気づいたら終わっていました。
正直、「死ぬときもこんな感じだとありがたいな」と思いました。
手術自体はあまり痛くなかったのですが、
その夜が大変でした。
隣のおじいさんのいびきが強烈で、ほとんど眠れず。
個室にすればよかったと心から後悔しました。
夜勤の看護師さんは全体的に少し冷たく、
(こちらが弱っている分、余計にそう感じただけかもしれません)
危うくオペ着のまま寝させられそうになったのも良い思い出です。
現在、足首には固定用の金属プレートが入っています。
将来これを抜くかどうか、なかなか悩ましいところです。悩んでます。
_2.png)

コメント